Penyakit Nyeri Leher (NL) Disebabkan oleh proses degenerasi tulang belakang di daerah Cervical, penyakit NL sering disertai adanya gejala lain seperti:
- Nyeri menjalar sampai bahu, lengan dan tangan.
- Rasa kesemutan dan kebas pada satu atau kedua tangan.
- Nyeri pada waktu bangun tidur, atau sesudah melakukan aktivitas pekerjaan seperti: aktivitas yang menggunakan komputer, dll.
Karena manusia adalah satu-satunya mahluk yang berdiri tegak di dunia, maka menurut statistik, 80% orang dewasa di dunia, minimal akan menderita NPB (Nyeri Punggung Bawah), dan yang kedua adalah NL (Nyeri Leher), karena lengkung lumbal dan cervical adalah sama, sedangkan lengkung Torakal hampir tidak bergerak disebabkan adanya tulang rusuk.
Pada degenerasi terjadi kerusakan mekanik pada struktur tulang belakang daerah leher, sehingga menimbulkan gejala-gejala di atas.
Pemeriksaan yang dilakukan untuk mendeteksi kerusakan mekanis, adalah:
- X ray foto Cervical dinamik.
- EMG kedua lengan.
- MRI Cervical.
Apabila diperlukan tindakan untuk memperbaiki kerusakan mekanik struktur tulang belakang tersebut, pada saat ini bisa dilakukan dengan cara minimal invasif, yaitu teknik Percutaneous Stenoscopy Cervical Decompression (PSCD)
Dengan diameter scope sebesar 8mm, dapat dilakukan perbaikan struktur mekanik tulang belakang yang rusak dan stabilisator tulang belakang tetap dipertahankan, sehingga tidak diperlukan pemasangan implan.
Lama perawatan tergantung besarnya kerusakan mekanis, antara 3 sampai 5 hari.
![]() |
| Gambar 1. Stabilisator Leher, area nyeri leher dan kesemutan tangan. |
![]() |
| Gambar 2. Alat PSCD dan Cara kerjanya. |
|
| Gambar 3. Tehnik PSCD, luka 1 cm. |
![]() |
| Gambar 4. Sebelum PSCD dan Sesudah PSCD, Pasien usia 41 tahun. |
![]() |
| Gambar 5. Luka 1 cm. |
|
|
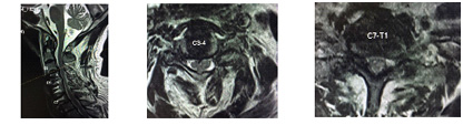
| Gambar 6.Sebelum operasi PSCD, Pasien usia78 tahun, sudah dilakukan operasi di Singapore tahun 2012, terpasang implan C4,5,6,7, pada saat ini terjepit C3-4 dan C7-T1 |
![]() |
| Gambar 7.Sesudah operasi PSCD C3-4 dan C7-T1, Luka 1 cm, 2 titik. |
..................................................................................................................................................................................................
| Penulis |
![]() |
| Dr. dr. Bambang Darwono, Sp.B, Sp.OT, FICS, FAPOA |
| Dokter Spesialis Bedah Tulang |
Publish: 22 Maret 2021

English
Bahasa








