Dalam beberapa tahun terakhir, minimal invasive surgery menjadi prosedur yang sering dilakukan pada semua bidang kedokteran dan operasi di bidang orthopaedi salah satu yang paling berkembang. Minimal invasive surgery adalah prosedur operasi dimana dilakukan suatu prosedur melalui luka kulit yang kecil. Pada bidang ortopedi, melakukan operasi dengan membuka sendi melalui luka yang besar dapat terasa sangat berbeda pada saat recovery dengan malakukan prosedur menggunakan luka kulit yang kecil dan ditargetkan khusus pada daerah yang mengalami masalah. Minimal invasive surgery dapat mengurangi resiko operasi, mengurangi nyeri pasca operasi, perdarahan yang lebih sedikit, penyembuhan yang lebih cepat, dan bekas luka yang lebih kecil. Berikut adalah contoh minimal invasive surgery yang sering dilakukan pada kasus ortopedi sehari- hari.
Arthoscopy (teropong sendi)
Prosedur ini pada dasarnya mengintip dalam sendi menggunakan kamera dengan membuat luka kecil (key hole) pada kulit sehingga dapat dipakai untuk mendiagnosa dan sekaligus melakukan prosedur untuk menyembuhkan kondisi cidera pada struktur dalam sendi seperti ligament, tulang rawan atau bantalan tulang. Prosedur ini dapat dilakukan pada semua sendi, namun paling sering dilakukan pada sendi lutut dan bahu. Biasanya tindakan operasi ini memerlukan 2 (dua) atau lebih luka sayatan (±1cm) dengan menggunakan kamera yang dipasang pada alat arthoscopy, tube yang tipis dan flexible untuk melihat struktur dalam sendi. Instrument yang berukuran kecil kemudian dimasukkan pada luka sayatan kedua dan seluruh prosedur ini ditampilkan pada monitor. Dokter bedah dapat membesarkan gambar untuk melihat dan menuntun alat untuk melakukan “repair” yang diperlukan. Operasi arthoscopy saat ini menjadi gold standard untuk mengobati cidera struktur dalam sendi agar dapat kembali ke kondisi sebelum cidera. Luka operasi biasanya hanya perlu 1 jahitan.

|
Gambar 1: Alat arthoscopy berupa kamera dan light source. Ilustrasi aplikasi pada operasi lutut. Terlihat adanya sobekan pada bantalan tulang. |

|
Gambar 2: Operasi arthoscopy pada lutut, bahu dan pergelangan tangan. |
| Gambar 3: Zlatan ibrahimovic pernah cidera ACL dan mulai kembali latihan setelah 2bulan pasca operasi arthoscopy. Contoh bekas luka arthoscopy setelah 1minggu. |
Minimal invasive Total joint replacement
Pada total joint replacement, permukaan sendi yang sudah rusak “dikerok” dan diganti dengan permukaan sendi buatan(artificial). Prosedur ini biasanya memerlukan luka operasi yang besar untuk melihat permukaan sendi secara keseluruhan. Pada minimal invasive surgery joint replacement menggunakan luka operasi yang kecil sehingga kerusakan jaringan sekitar minimal. Menurut American Academy of Orthopaedic Surgeon, luka pada minimal invasive surgery adalah kurang dari 6inches, dibandingkan pada metode conservative yang biasanya sekitar 10inches.
Pada pasien yang kerusakan tulang rawan hanya terjadi pada satu sisi, dapat dilakukan UKA (unicondylar knee arthoplasty), “less invassive alterntive” dari total knee arthoplasty, dimana tindakan ini didesain untuk menggantikan hanya sebagian tulang rawan yang mengalami kerusakan. UKA memiliki keuntungan seperti luka scar yang lebih kecil, waktu recovery lebih cepat dan gerakan lutut yang lebih baik. Tidak semua pasien dapat dilakukan metode operasi ini, namun opsi ini dapat didiskusikan dulu sebelumnya di outpatient department (Poli).
| Gambar 4: Perbandingan kondisi kerusakan sendi pada osteoarthritis (pengapuran) pada lutut. Pada pengapuran sendi yang berat dilakukan penggantian sendi untuk mengurangi nyeri dan koreksi deformitas. |

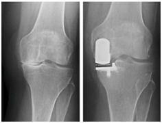
| Gambar 5: Pada pengapuran sendi pada satu sisi dapat dilakukan penggantian sendi partial (UKA). |

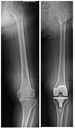
| Gambar 6: Pengapuran sendi berat disertai deformity (kaki O atau X), dilakukan total knee arthoplasty (TKA) untuk mengkoreksi deformitas dan mengurangi nyeri. |
MIPO (Minimal Invassive Plate Osteosynthesis)
Prosedur ini dilakukan pada kondisi patah tulang dimana diperlukan pemasangan pen untuk menjaga panjang tulang, rotasi dan bentuk tulang asli melalui jendela kulit yang minimal dan tidak dengan membuat luka pada daerah yang patah, hal ini karena biasanya sudah terjadi kerusakan jaringan lunak pada daerah sekitar patah tulang. Penyembuhan luka, penyambungan tulang dan masa recovery pada operasi patah tulang seperti ini biasanya lebih cepat. Operasi dengan prosedur ini memerlukan guide pada saat operasi menggunakan alat khusus dan C-arm untuk melihat posisi tulang dan pen saat operasi serta dokter operator yang terlatih

|
Gambar 7: Ilustrasi perbandingan metode pemasangan pen cara konvensional dimana membuka banyak jaringan lunak dengan metode minimal invasive yang menggunakan jendela luka operasi kecil sehingga kerusakan pada jaringan lunak minimal. |
| Gambar 8: Ilustrasi kasus dengan patah tulang kompleks pada tulang kering dilakukan operasi pemasangan pen dengan metode minimal invasive melalui jendela pada luka kulit. Hasil operasi segera setelah operasi menunjukkan pengembalian fragment tulang dan restorasi tulang ke bentuk asal dengan pen yang memegang stabil fragmen tulang. Tulang kembali menyambung dan garis patah mulai pudar setelah 3bulan setelah operasi. |
Minimal invasive Outpatient procedure
Trigger finger
Trigger finger adalah suatu kondisi dimana jari nyangkut (stuck) pada posisi menekuk sehingga gerakan jari tidak mulus pada saat diluruskan atau ditekuk. Kondisi ini juga disertai nyeri pada jari yang mengalami masalah. Penyebab kondisi ini adalah terjadinya iritasi dan inflamasi/ peradangan pada selubung tendon. Irritasi yang lama dapat menyebabkan scarring, penebalan dan terbentuknya nodul pada tendon yang menyebabkan hambatan pada gerakan jari. Penyakit ini sering dialami oleh orang yang mempunyai pekerjaan/hobby yang melibatkan gerakan tangan berulang dan mencengkram pada waktu yang lama. Factor resiko lainnya biasanya pada penderita diabetes dan rheumatoid arthritis.
Pada pasien dengan kondisi yang berat atau gagal pengobatan secara conservative harus dilakukan operasi agar sendi jari tidak menjadi kaku. Operasi ini dapat dilakukan secara minimal invasive dengan metode percutaneous release. Pada prosedur ini pasien tidak perlu menginap dan biasanya dapat dilakukan pada OPD/poli. Luka operasi minimal sehingga tidak perlu dijahit dan jari biasanya dapat langsung digunakan.

|
Gambar 9: Ilustrasi trigger finger pada jari manis dimana jari menjadi sulit diluruskan. |

| Gambar 10: Operasi untuk membebaskan tendon yang terjerat pada jari tengah menggunakan percutaneus release dengan USG guide. Luka post operasi biasanya tidak memerlukan jahitan dan segera dapat digunakan. |
Penulis

| dr. Paulus Ronald Hibono, Sp.OT |
|
Dokter Spesialis Bedah Tulang |
Publish: 25 Oktober 2021

English
Bahasa

